14.左下6を抜去後、左下8の移植を行った症例

 2002年4月初診,41歳女性.主訴は,ムシ歯を治したいと,左下6が浮くような感じがするとのこと.歯周基本治療後,まず左側の治療を行った.スライドは03年1月,いよいよ左下6の治療にとりかかろうとした時の状態.ここで,左下6は歯周ポケットが最大6mmであり,このまま暫く経過をみる選択肢もあると思うが,今回は患者さんの希望もあり,治療を積極的に行うことにした.治療方針は,メタルコアを外して根管治療を行うより,左側の上下どちらかの智歯を移植するほうが将来的にも良いと判断した.

 2003年1月,左下6を抜去し,2月にまず抜歯の容易な左上8を移植した.しかしドナー歯は2根あり,根分岐部が上手く付着しなかった.4月にこの歯を抜去し,5月に左下8を再度移植した.埋入深度を深くするために,ドナー歯の歯冠幅径を小さくする必要があるが,削去することで歯根膜を汚染することは避けたかったので,頰側に傾斜埋入した.

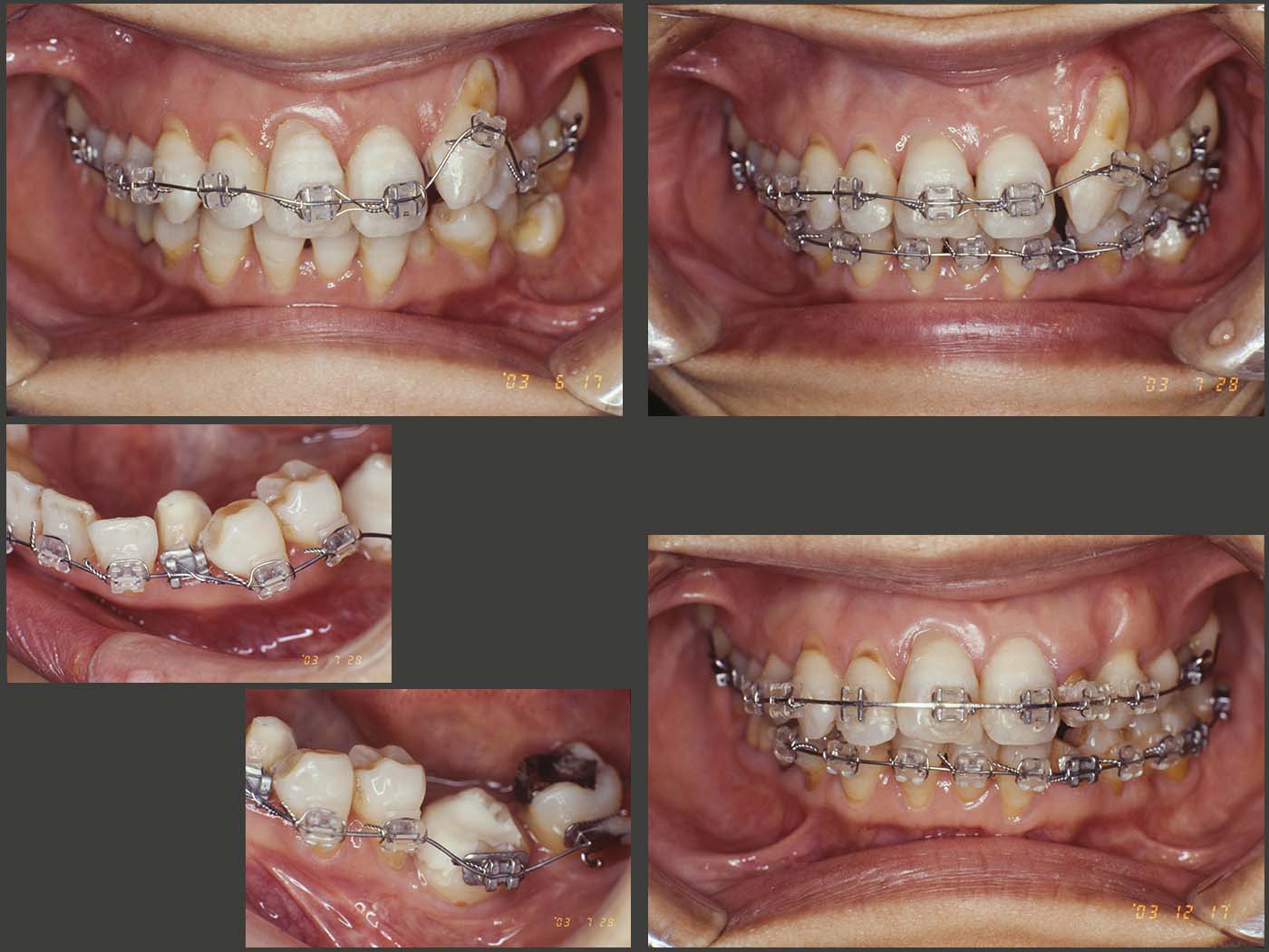
 移植された左下6が安定したところで,左上2および3をどう処置するか迷った.患者さんは,頰側の歯根の露出が著しく大きい左上3の審美性の悪さを気にしていることから,残根状態の左上2でなく,有髄歯である左上3を抜去することにした.またこの際,頰側歯槽骨を増大させる目的で,2003年6月,左上3に矯正的挻出を施した.8月,最後のご奉公が終了したため,左上3を抜去した.
 また12月にかけて,左上2の唇側移動,左下3,4,5の叢生の解消および頰側傾斜埋入された左下6のアップライトの目的で歯科矯正を行った.なお,左下3は歯冠幅径を小さくする必要から抜髄せざるを得なかった.
 この症例を振り返ってみて,今なら左上2を抜歯するに留め,左上3の抜歯および左下3の抜髄はせず,移植歯のアップライト以外の歯科矯正も無理してまで行わないと思う.当時は審美性を重視した処置なので仕方がないが,やはり「歯を守るため」には,オーバートリートメント的な処置すなわち有髄歯の抜歯あるいは抜髄を慎まなければならないと考える.私も年をとったため,保守的な考え方になってきたのかもしれないが.

 ここで,まったく恥ずかしい話であるが,左上3に犠牲になってもらい,歯科矯正まで行った左上2について,コア形成時に何と歯根を穿孔してしまった.(今なら根管内にペリオドンを貼付し,次回来院時になるべく無菌状態を維持し,止血状態を確認する.そのうえで滅菌されたダッペングラスと筆を用いたスーパーボンドにて穿孔個所を封鎖し,コアの印象採得を行っている.)当時の記録がなく,どのように処置したかの詳細は不明であるが,2004年8月,左上2には暫間被覆冠を装着し,ここ以外の治療はすべて終了した.左上2の穿孔封鎖後,約1年間経過を観察し,特に問題がみられなかったので左上2にメタルボンド冠を装着した.05年7月,すべての治療が終了した.

 2007年9月のリコール時,左上2にフィステルが生じていた.穿孔部が原因であることは明らかなため,10月に抜歯し,穿孔部をスーパーボンドにて確実に封鎖し,再植した.暫く経過をみて,08年4月に再度メタルボンド冠を装着した.
 しかし,13年10月,歯周ポケットから排膿がみられ,また動揺も大きくなった.7月撮影のデンタルX線写真から歯根の周囲すべてに透過像が認められたため,残念ながら抜歯となった.両隣在歯は,健全歯のために削去することはとても出来なかったので,硬質レジン歯をスーパーボンドにて接着した.なおこの人工歯は,17年に1回外れた以外は,20年4月現在まで外れていない.患者さんは,ここで咬んではいけないと相当意識しているとのこと.

 スライドには掲載していないが,2016年11月,右下5の頰側中央に10mmの歯周ポケットが認められた.左上2の人工歯脱落を気にし,右側咬みになっている可能性があること,また初診時と13年(スライドに掲載なし)のデンタルX線写真を比較しても根尖に変化がみられないことから,まず歯根破折であろうと診断した.しかし自覚症状がなく,患者さんの治療への承諾が得られなかった.
 17年6月,フィステルが出現し,鈍い痛みも生じてきたことから治療を開始した.歯根破折と診断していたため,当然抜歯の予定であったが,抜去し歯根をよく観察しても破折線がみられなかった.そこでPerの可能性もあるので,根尖をスーパーボンドにて封鎖後,再植した.その後,歯周ポケットが3mmまで減少したため,コーヌス内冠を装着し,支台歯として再利用することにした.
 しかし18年3月,舌側に10mmの歯周ポケットが生じてしまった.(再植の際,180°回転して植立した.)結局,抜歯となってしまったが,理由はまだ分からずじまいである.


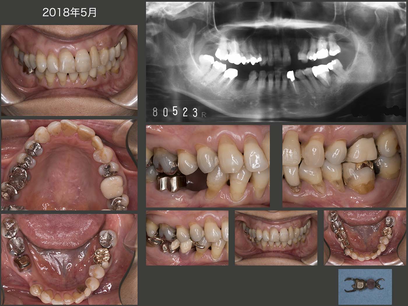
 2018年5月の状態.右下にはコーヌス義歯を装着した.右下7のクラスプは,無髄歯である右下6に加わる水平力を少しでも担うことと,将来右下6が歯根破折等で失った場合,この部分に義歯床を足すのみで,そのまま使用できることを考えて付与した.

 移植された左下6の経過であるが,2005年7月から19年12月までは,良好に経過した.(中段のデンタルX線写真は16年11月時).しかし,右下5を失い,左側で咀嚼する頻度が高くなったことが原因と思われるが,20年7月,頰側の歯周ポケットが10mmの値を示すようになってしまった.クラウンを外し,3ヵ月間自然挻出を期待したが,あまり変化がみられなかった.10月に歯周外科を施したが,頰側の骨が全く存在しなかった.12月現在,経過観察中であるが,歯周ポケットの改善(上皮性付着の獲得)がみられれば,左下7と連結固定(2次固定が望ましい)するつもりである.21年3月,左下5にクラスプ,左下6,7にコーヌス冠を用いた可撤式補綴装置の印象を採得した.