6.再植歯を連結固定すべきであった症例
初診は2005年4月,61歳女性.主訴は左上5のクラウン脱落.まず右下4のう蝕処置(生切・09年抜髄)および歯周基本治療を行った.スライドは05年10月の状態であるが,左上5は矯正的挺出中,右下5は歯根破折にて抜歯した直後.
2006年1月に右下1を右下5部に移植した.左上5は矯正的挺出終了後暫くしてフィステルが生じてしまった.感染根管処置を施したが,根尖が開かなかったので,06年4月に再植を行った.またドナーとして抜去した右下1の空隙を埋めるため,さらに上顎前歯の審美的改善を期待して歯科矯正を行った.07年4月に治療は全て終了した.
この当時は,歯を連結固定すると清掃性が落ちることから,極力連結固定を避ける気持ちが強かった.もちろん暫間被覆冠で咀嚼できる等の反応をみて判断していたが,再植,移植した歯は若干動揺が残るので,当該歯には大きい咬合力が加わらないから安全であると高をくくっていた.このケースも暫く反応をみたが特に問題がなかったので,再植した左上5および移植した右下5を単独植立のままとした.
この症例においては,3年半後にこの選択が結果的に間違っていたことを知ることになる.暫間被覆冠による3ヵ月から半年位の経過観察では所詮将来を見通せることはできないということを学ばせていただいた.
2010年10月に,移植した右下5に歯根破折が生じた.この原因は移植の不手際というよりは,左上5を連結固定しなかったことが一番の原因であると思われる.すなわち左上5に動揺が生じたために左側での咀嚼を避け,結果右下5の荷重負担が増大したと想像できる.もちろん移植した右下5(元は右下1)も右下6と連結固定したほうが咬合力に対応できた.
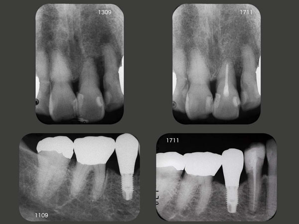
さて今回の右下5の治療方針は,インプラントを用いることにした.11年2月に埋入手術を行い,8月に上部構造を装着した.一方同月にブラブラになってしまった左上5を抜歯し,こちらは12年4月にブリッジを装着した.なお,スライド右端は,12年11月の状態である.
2013年9月,左上1に歯肉膿瘍が生じた.遠心の歯周ポケットが10mm認められた.また歯髄反応は弱く根尖病巣も疑った.まず,抜髄して自然挺出を行う治療計画を立てた.なお,最初浸潤麻酔なしで削去したが,ある程度進んだところで疼痛を訴えたため,歯髄は失活していなかった.そうなると,診断は歯周病となる.また,抜髄後3ヵ月経過をみたが挺出量も少なく,力の関与も低いと思われた.なぜこの歯が急に増悪したのかはよく分からないが,もしかすると歯科矯正を行ったことが関わっているのかもしれない.また,結果からみると抜髄する必要はなかったのかもしれない.
14年2月,歯周外科処置を行った.唇側から遠心にかけて歯槽骨が失われていた.
歯周外科処置を行った左上1の歯槽骨は改善傾向を示している.これに対し,インプラント周囲の歯槽骨は緻密化し,将来何となく心配である.デンタルX線写真からみてとれるように,神様が作られた天然歯と人間が作ったインプラントでは,やはり違うと言わざるを得ない.安易な抜歯は避けるべきである.
2020年8月現在,特に問題はみられない.
