16.左上8を左下6に移植後、置換性吸収が生じた症例
2000年2月初診,54歳女性.主訴は,色々治したい.主訴の一つである上下顎前歯の審美性の改善について,セット・アップ模型を用い治療後の形態を提示した.前歯部を内側に入れるためのスペース確保のために,抜去する歯を上下それぞれ最小限の1本にしたい.また,臼歯部の咬合は変化させないという治療方針をたてた.しかし,歯列の正中がずれる欠点があることを説明したところ,患者さんはこの方針での治療を希望された.なお歯周ポケットは,右下7の遠心が7mm以外,特に問題はなかった.
前歯の歯科矯正を行うにあたって,左側の上下6にレジン前装のメタル暫間被覆冠を装着し,固定源の強度を確保した.また小臼歯部に装着されている冠を除去し,連結固定しやすく,またブラケットが外れにくいレジン暫間被覆冠を装着した.
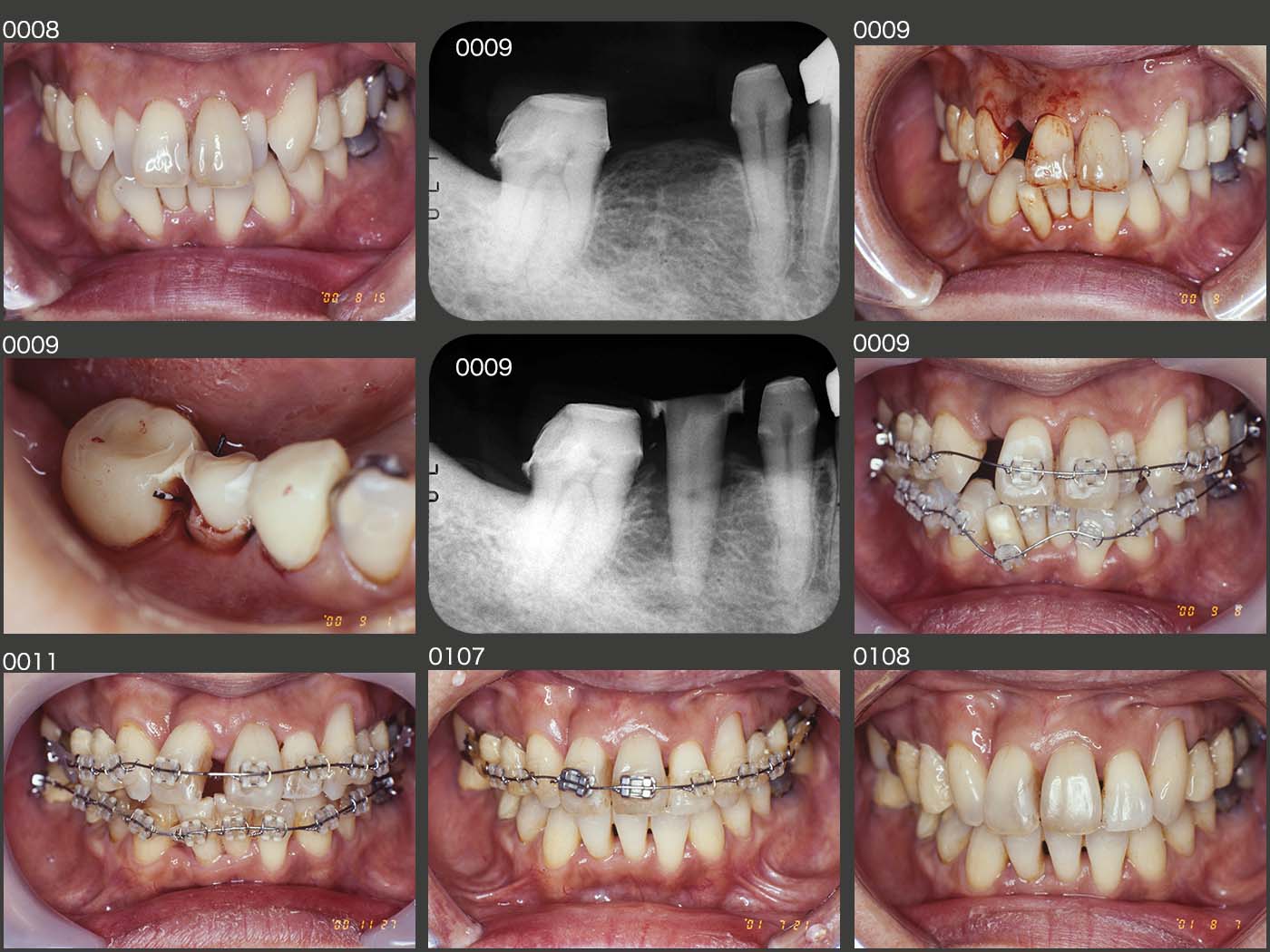
2000年9月,スペース確保のために右上2を抜去したが,廃棄するのはもったいないので,右下⑦6⑤ブリッジを除去し,ポンティック部に歯の移植を行った.右下2もスペース確保のために抜去の予定であるが,右下1,3の下部鼓形空隙を大きくしないために,矯正的挻出を行い,歯槽骨の増大を図ったうえで抜去した.
動的矯正期間は00年9月から01年7月までの11ヵ月である.
2002年7月,恐れていた左下6に急化Perが生じた.投薬および感染根管治療を行ったが,根尖を穿通することが出来なかった.今なら,再植をすると思うが(急性症状が落ち着いていたら矯正的挻出を先に行う.),当時は埋伏している左上8を左下6部に移植する方法を選択し,8月に実施した.03年2月,硬質レジン前装冠を装着した.
2007年10月のリコール時,移植された左下6の近心に7mmの歯周ポケットが認められた.ここで,歯周ポケットの改善および頰側の歯頸線を隣在歯に沿わす目的で,冠を外し,矯正的挻出を試みた.しかし,1ヵ月少々矯正力を加えたにもかかわらず,移植歯はまったく動かなかった.仕方なく歯周外科を行い,08年3月に再度硬質レジン前装冠を装着した.同月のデンタルX線写真から,歯根の下方には歯槽硬線が観察されるが,上部は観察されず,歯槽骨との癒着が生じているものと推測された.
スライド右下に14年10月の状態を示すが,左下5とのコンタクトに離開が生じ,デンタルX線写真から歯根にも置換性吸収を思わせる像が認められるようになった.
2019年3月の状態.移植された右下6は,ドナー歯が上顎側切歯であり,隣在歯と連結固定しなかったにもかかわらず,約19年間経過は良好である.一方,移植後約17年経過の左下6については,残念ながら置換性吸収が進行している.もうこのまま経過を観察するしか術がない.
