片側処理が可能なコーヌス義歯
1.短縮歯列より、第1大臼歯まで咬合させたい
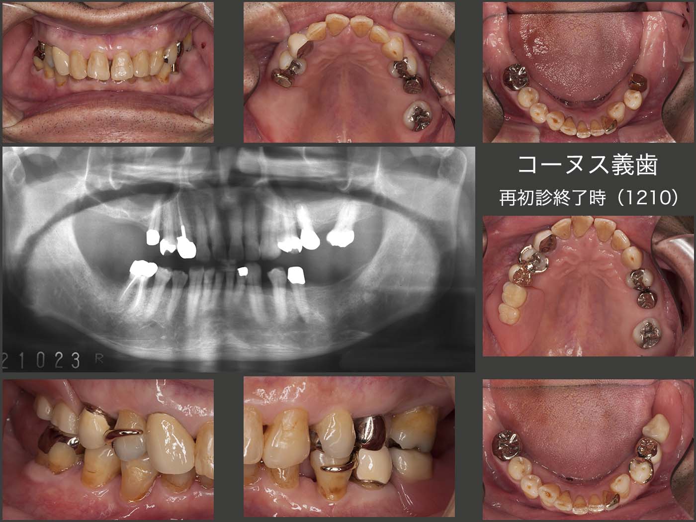
1993年初診,54歳男性.今回は2011年8月,左上5の痛みで来院.デンタルX線写真からは特に異常はみられないが,口腔内をよく観察すると,歯冠が破折し,破折線が歯髄まで達していた.
06年に右上6を歯周病で抜歯した後は,11年まで大臼歯部の咬合が失われた状態であった.そのため小臼歯部で咀嚼するしかなく,長年にわたる加重負担により歯冠破折が生じたと想像できる.もし,左上5が無髄歯なら,歯根破折が生じ,抜歯となっていたであろう.
そこで左右側大臼歯部でも咀嚼できるように,コーヌス義歯を製作することにした.通常,遊離端義歯を片側処理するには,歯の欠損部位より前方に2本の支台歯(犬歯まで)が必要である.欠損側に近い直接支台歯(床隣接歯)が義歯に加わる垂直的・水平的負担を担うが,手前の歯は,直接支台歯の水平的負担を軽減するために必要であると考えている.この場合,支台装置はコーヌス冠でなく,クラスプでも構わない.クラスプは審美的には良くないが,歯を削去しないですむという利点がある.また,費用も安価である.
2019年2月,奥様を亡くされたことによる喪失感からかブラッシングに対する意欲が低下してしまった.家はゴミ屋敷の状態で,左下のコーヌス義歯は家のどこかにあるとのこと.暫く様子をみたが,捜す気もなさそうなので,左下5の内冠の上にクラウンを装着(仮着)した.
20年11月,前歯で硬いものを嚙んで,右上1および左上2が同時に歯冠破折した.通常なら保存可能であるが,今回は抜歯し,同部の人工歯および左上5のクラスプを右上のコーヌス義歯とレジン床にて繋ぎ合わせた.ブラッシングは昨年ほどではないが,決してよいとは言えない.
2.片側処理のコーヌス義歯で、口蓋を開放
2009年12月初診,72歳女性.5年前他院にて,上顎左右に⑤⑥7の延長ブリッジを装着したとのこと.今回,上顎左右6に歯根破折が生じていた.対合歯があり,咬合力が強い人に,延長ブリッジは禁忌である.上顎左右6は,破折した歯根を抜歯し,保存できる歯根をできるだけ残し,根面板を装着した.これは顎堤および歯根膜感覚の保存のためである.上顎左右5にはコーヌス冠を,4にはクラスプを支台装置とした義歯を装着した.
2011年2月,初診終了 コーヌス義歯装着時の状態.上顎左右5を支台歯とし,大連結装置で左右の義歯床を連結すれば義歯の安定は得られる(両側性設計).しかし,口蓋を覆うことによる違和感,発音障害が生じやすい.そこで今回は,上顎左右4にクラスプを付与することで片側処理とし,口蓋を覆わない義歯の形とした.上顎左右4は健全歯であり,歯を切削しないという点からクラスプが一番好ましいが,審美的に受け入れられない人もいる.その場合は,稀ではあるが歯を切削し,この歯にもコーヌス冠を装着するときがある.なおこの際,絶対に歯を抜髄しないように注意している.一方,クラスプ頰側のアームをショルダー部のみにすることもある.
スライド下段は,初診終了後5年6ヵ月(16年8月)の状態であるが,特に変化はみられず,順調である.上顎左右5は有髄歯であり,歯根破折しにくいので予後良好であると考えている.
初診時と初診終了時のパノラマX線写真の比較.初診時右上6は3根あるが,左上6は以前に口蓋根を抜歯しており2根しかない.想像するに歯根の数の多い右側で主に咀嚼していたが,歯根破折が生じ咬めなくなったので左側咬みになったが,こちらも頰側根の分岐部に歯根破折が生じてしまい,結局両方の奥歯で嚙めなくなり,当院を受診したのではないかと思われる.
2020年11月現在,特に変化なく,経過良好である.
