歯の再植

1.歯肉縁下カリエス(1)

 2010年6月初診,66歳男性.ブリッジの支台歯である左下8に,デンタルX線写真から歯肉縁下カリエス(赤矢印)が認められた.矯正的挺出を行いにくい位置であり,歯槽骨を削って歯肉縁上歯質を獲得する手術も困難である.そこで歯の再植を行い,左下6と連結固定すれば機能すると考えた.もう一度,固定式ブリッジを装着することもできるが,清掃性を配慮して可撤式ブリッジ(コーヌス義歯)を選択した.6年経過するも,特に問題を認めない.

2.歯肉縁下カリエス(2)

 2016年9月初診,65歳男性.主訴は左下奥歯の治療希望.患者さんは歯の保存を希望していたが,当初さすがに保存するのは不可能と思われた.まず,歯周基本治療,他部位のう蝕処置を行い,いよいよ左下をどうするかに至った.患者さんには,保存困難で予後不良になり得ることもあることを伝え,ご理解していただいたうえで,12月に再植を試みた.
 左下6の近心根は,歯冠長の延長を行うにとどめた.遠心根は頰側根,舌側根に分離していたため,頰側根は歯肉縁上歯質が確保できる位置に再植した.左下7の近心根は保存不可能と判断して抜歯し,同部に左下6遠心根の舌側根を移植するとともに,左下7の遠心根は歯肉縁上歯質が確保できる位置に再植した.
 17年3月,メタルコアを装着し,暫間被覆冠で食事ができるか等の反応をみたうえで,5月に連結冠を装着した.
 装着後のデンタルX線写真をみると,左下6近心根の冠が若干不適合になっている.試適時(17年4月)には適合していたので,ロウ着時に変形が生じたか,あるいは若干歯が動いたかが考えられるが,「後の祭り」である.

3.歯根破折(1)

 2012年4月初診,23歳の男性.左上1は10歳の時に転倒して,折れた歯を戻した.その後およそ2年ごとに腫れを繰り返してきたが,最近歯の動揺が大きくなったので来院したとのこと.デンタルX線写真から炎症性の歯根吸収らしき像がみられた.通常であれば抜歯し,両側の健全歯を削ってブリッジを装着する症例であるが,何とか左上1を保存したいと考えた.
 まず,左上1の矯正的挺出を試みたが,歯根破折が生じていたため,破折部位より上部のみが挺出されてしまった.そこで矯正的挺出を諦め,12年5月に残根の抜歯を試みた.何とか愛護的に抜去することができたので,歯肉縁上歯質が得られるところまで挺出させた位置に再植,固定した.約1年間暫間被覆冠で経過観察を行い,特に問題がなかったので,13年9月に硬質レジン前装冠を装着した.歯根が短いために動揺が生じ,固い食品を前歯で嚙み切れないのが欠点であるが,患者さんは特に不満を訴えていない.
 臼歯部ならば連結固定は必須であるが,前歯は機能させなければ単独植立も可能である.

4.歯根破折(2)

 2015年3月初診,55歳の女性.左下4の咬合時痛を訴えて来院.デンタルX線写真から歯根破折がみられた.右側は,右上7が欠損,右下6が舌側に転位しているため,右側では咬みにくく,どうしても左側咬みになってしまう.この結果,無髄歯である左下4の歯根破折が生じたと考えられる.なお,この患者さんは最近歯科矯正を行っており,前歯は綺麗に並んだが,その代償として右下6が舌側に転位してしまったという経緯がある.
 破折は根尖側から3分の1にまで達していたが,何とか保存したいと考え,再植を行った.なお,再植にあたっては,破折のある遠心面を90度回転し,頰側に位置づけた.さすがに単独植立は無理なので,左下6のコンポジットレジンを除去し,左下4および6の連結冠・インレーを装着した.単純に抜歯し,ブリッジとすれば,バージントゥースである左下3を削る必要が生じるが,再植によって回避することができた.
 患者さんには,嚙みにくいけど,右側でも嚙むように指導している.

5.人工的穿孔

 1997年8月初診,28歳の女性.左上2の歯根に人工的穿孔が認められた.一般的には抜歯の適応であるが,根尖側4〜5mmの歯根膜は正常であることから再植を行ってみた.約1年間,暫間被覆冠で経過を観察.歯周ポケット,歯の動揺等特に問題がなかったので,98年7月にブリッジを装着した.デンタルX線写真から根尖付近に僅かであるが歯槽骨の再生がみられた.歯周ポケットが正常範囲内であることから,結合組織性の付着が得られていると思われる.
 左上2をブリッジの支台歯として約18年経過したが,特に問題は生じてない.再植を臨床に取り入れた初期の症例であるが,自分でもこの経過の良さに驚いている.

6.根尖病巣

 1999年初診,55歳女性.スライド上段3枚は,2012年11月の状態.14年6月,夜間就寝時に左下7に痛みが出たとのことで来院した.デンタルX線写真に以前から根尖病変がみられたが,力の可能性も否定できず,暫く様子をみてもらった.しかし,7月に激痛が生じ,根尖圧痛もみられたため,これは根尖病巣による急性症状と診断した.抗菌剤を投与したのち感染根管治療を数回行ったが,根管が閉鎖しており内科的な治療は不可能と診断した.そこで8月,まず3週間にわたり,左下7の矯正的挺出を行い,抜歯しやすいように細工した.9月,歯の動揺を確認したのちに抜歯を行い,口腔外で滅菌スーパーボンドにより根尖を封鎖した.直ちに元の場所に戻し,隣在歯と3週間固定した.3ヵ月経過を観察し,補綴処置に移行した.

 左下は固定式ブリッジでも対応できるが,左下7の予後が心配なため,今回は可撤式ブリッジを選択してもらった.これは将来,もし左下7を失うことがあっても,左下4を支台歯に組み込むことで,片側遊離端義歯に移行できるからである.右上に示す2015年3月のデンタルX線写真から,根尖病変が消失しているのが分かる.20年11月の時点で根尖病変の再発もなく順調に経過している.

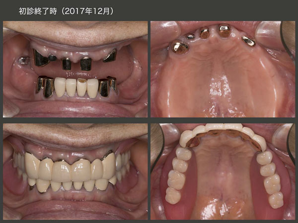
7.保存不可能と思われる歯を再植し、義歯の支台歯へ

 2016年3月初診,79歳女性.右上3の冠がコアごと外れ,義歯が安定しなくなったとのことで来院.上顎においては残存歯をすべて抜歯し,総義歯にする選択肢があった.顎堤が優型であり,総義歯でも十分機能すると思われたが,口蓋を被うことになるので,異物感や発音障害が生じる可能性も考えられる等を説明したところ,患者さんはできるだけ歯を残して欲しいと希望した.

 まず右上3の増歯を行い,つぎに同部の感染根管治療を行った.その後,暫間のOPAアタッチメントを装着し,義歯の維持を担ってもらった.なお,アタッチメント根面板の所に保持を設け,ワイヤーを固定できるように細工しておいた.
 以上の準備が整ったところで,2016年6月に右上3および左上1を固定源として,右上1,2および左上3の再植を同時に行った.この際,歯肉縁上歯質が得られるところまで挺出し,ワイヤーに固定した.
 デンタルX線写真は,術後2ヵ月半の状態であるが,右上2の動揺は収まらなかった.また左上3の遠心に7mmの歯周ポケットが残ったため,同部の歯肉切除を行った.

 治療途中に骨折等で通院できず,治療期間は延びてしまったが,2017年12月に上下顎にコーヌス義歯を装着した.再植した右上2は動揺があるため側方力をかけないように根面板を装着するに留めた.左上3は若干の動揺があるため,少し丈の短い内冠を装着した.右上1は通常の長さの内冠を装着した.なお,3本の再植歯の歯周ポケットは3mm以下に落ち着いた.

 2017年12月,初診終了時のデンタルX線写真およびパノラマX線写真.再植歯の歯根は短いが,歯根膜による歯槽骨の再生がみられた.あとは種々の力に対して抵抗できるか否かであるが,コーヌス冠による2次固定効果により残存歯を束ねたことで,何とか持ちこたえてもらいたい.