歯周病とコーヌス義歯
1.1本の歯に可撤式クラウン装着
2009年初診,57歳女性.14年に左上6の歯周外科処置を行った.その結果歯周ポケットは浅くなったが,近心の歯肉が退縮してしまった.テンポラリークラウンを装着して,同部の清掃性を観察したところ,どうしても近心マージン付近にプラークの取り残しがみられた.そこで可撤式のテンポラリークラウンに変更したところ,プラークの残留は著しく減少した.そこで,テンポラリーの形態を踏襲した可撤式のクラウンを装着した.左上5にクラスプを設けたのは,着脱のし易さ,単冠だと誤嚥の可能性がある,および左上6に加わる側方力を少しだけ担ってもらう,以上の3点を考慮してのことである.
ところが,17年6月のリコール時に,左上5の遠心に根面カリエスが認められた.ここまで可撤式にこだわり,万全の対応で望んだにもかかわらず残念な結果になってしまった.なかなか思うようにはいかないものである.今回は,コンポジットレジンを充塡し,可撤式クラウンを装着した状態で歯間ブラシを挿入するように指導した.
2.歯の連結固定をコーヌス冠で
2002年初診,57歳男性.当初より咬合力が強く,中等度の歯周病を患っていたが,15年8月,右側では食事を摂りづらくなったとのことで来院.右上5〜7の歯周ポケットは4〜6mmであった.取り敢えずワイヤーで連結固定したところ,歯の動揺が収まり,咀嚼することができるようになった.ここで,治療方針は歯を連結固定すれば良いことになるが,単にクラウンで1次固定するより,さらに清掃性を配慮し,しかも将来の変化に対応できるコーヌス冠を用いた2次固定を今回採用することにした.
特に右上5で3ヵ月間,力の解放を行った後,15年11月,右上5〜7の歯周外科処置を施した.なお,患者さんはここで咬むことが多いからか,歯の知覚過敏が大きく,抜髄せざるを得なかった.歯周ポケットが3mm以下になったことを確認し,16年3月から補綴処置に移行した.
20年10月現在,良好に推移しているが,やはり抜髄したことが悔やまれる.今なら少しずつ削去し,有髄に拘ったかもしれない.
3.重度歯周病にコーヌス義歯で対応(1)
2012年2月初診,52歳男性.右下1および右上3の歯がグラグラするが主訴.歯周病がかなり進行しており,保存不可能な歯があるが,本人はどうしても歯を抜きたくないとのこと.まず,歯周基本治療を行い,右上3を抜髄し,自然挺出を開始した.
当院の環境に慣れてきたところで,保存不可能な歯の抜歯を行った.スライドにみられるように,歯石が根尖まで付着している.このような歯を放置すると,顎堤が吸収し,義歯の安定が得られなくなってしまう.
なお,抜歯を行うにあたって,2012年11月,即時義歯を装着した.上顎の口蓋を覆う義歯を装着したため,患者さんは違和感を強く訴えた.その後自然挺出を行った右上3および左下5に,歯周外科処置を施した.
2014年9月,初診終了時の状態.片側処理の可撤式義歯を合計3個装着した.支台歯の歯周ポケットは3mm以下に改善したが,予後が心配な歯であることに変わりはない.そこで,清掃性が良く,将来の変化に対応しやすいコーヌス義歯を採用することにした.左下も可撤式にしたかったが,経済的な負担も大きくなるので,左下5,6は,クラウンで連結固定した.下顎前歯は,ここで咬まないということを条件に,抜去した歯を単に接着剤(スーパーボンド)で隣在歯と固定した.また,みるからに咬合力が強いと思われることから,意識して咬み過ぎないように,さらに日中の咬みしめ(TCH)に特に注意するよう指導した.
コーヌス義歯装着時.片側遊離端欠損症例には通常2本の支台歯が必要となる.(中・側切歯は含めず.)したがって,左上にも2本の支台歯が必要となる.今回は左上4がバージントゥースであることから,審美的には良くないが,歯を削去しないですむクラスプを用いた.なお,欠損部から2本目の支台歯の目的は,1本目の支台歯に加わる側方力を減らすことであると私は考えている.
初診時および初診終了時のパノラマX線写真の比較.保存不可能な歯の抜去を4本,ヘミセクションを2本行った.自然挺出を行った右上3および左下5の歯周ポケットが改善したことから,本来人間の持つ自然治癒力の高さに驚かされた.
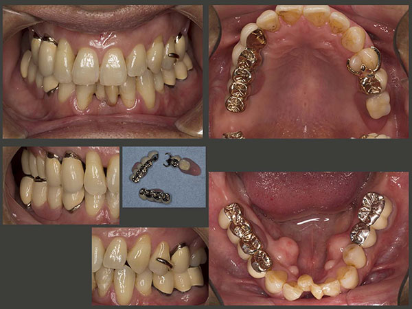
4.重度歯周病にコーヌス義歯で対応(2)
2008年7月初診,58歳男性.他院で上顎はすべて抜歯し,総義歯にするという説明を受けた.何とか歯を残せないか?とのことで当院を受診した.
まず,9月に保存不可能な右上5,6を抜歯し,即時義歯を装着した.(スライド写真は12月の状態.大連結装置の違和感が強くあまり使用していない.) 歯周ポケットは,右上2〜4および左上1は最深部で8〜10mm存在した.また1日1箱のたばこを吸っていた.まず,歯周ポケットの深い左上1,右上2を抜髄し,左上1,右上2〜4の自然挺出を行った.左上1は約1年経過を観察したが,歯周ポケットが改善せず抜去した.右上1〜4は歯周外科処置を行った.左上2は形成量が多かったためか歯髄炎を起こし,やむを得ず抜髄した.
2011年2月,初診終了時の状態.左上4は,これも形成量が多かったためか,内冠セット後に歯髄炎を起こしたため抜髄した.最終的には,上顎の残存歯をすべて支台歯としたコーヌス義歯を装着した.コーヌス義歯にすることで,2次的に支台歯を連結固定でき,また残存歯の清掃および将来の変更に対応しやすくなった.
上顎にはコーヌス義歯,下顎にはクラスプ義歯を装着した.右下段に2016年9月,5年7ヵ月後の状態を示す.13年1月に左下5を歯根破折で失ったが,暫くこのまま経過観察していた.16年6月,右咬みのためか右下6に歯髄炎が生じ,2週間様子をみたが痛みが一向に治まらず仕方なく抜髄した.なお,左下5にも1本義歯を装着してもらった.
初診時,初診終了時,初診終了後5年7ヵ月のパノラマX線写真の比較.2016年9月時点の歯周ポケットは上顎の歯は5mm以下であるが,下顎の歯は,右下6および左下6に最大7mm認められた.総合的には順調に経過していると思えるが,最近,以前ほど口の中に関心がなくなってきているように見受けられる.この先が心配である.
その後,20年12月現在まで来院が途絶えている.
