4.クラスプ義歯および咬合支持歯の経過
まず,人工歯を旧義歯に付与することで,上顎前歯の審美回復を図った.つぎに,右上6を近心に移動した.移動にかかった期間は約1ヵ月と早いが,その位支持歯槽骨がない状態であった.さらに,左上1,2および4の歯冠長を延長し,歯肉縁上歯質の確保を行った.2003年5月,基礎治療が終了し,ここから最終補綴装置の製作にとりかかった.
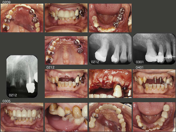
初診終了後約7年間は特に問題なく経過した.しかし,2011年2月に,まず左下4のメタルボンド冠の陶材が少し破損した.しかし,特に支障がないのでこのまま経過をみることにした.右下は犬歯以降が失われているため,どうしても咬合・咀嚼の中心は左側の咬合支持歯にならざるを得ない.したがって,左下4の存在するエリアに常に咬合力が加わるため,トラブルが生じやすい.
この状況を少しでも緩和する目的すなわち右側の義歯側でもっと咬んでもらうために,人工歯の排列位置を変更した.これまでは,上顎の天然歯としっかり咬合させて排列したため,人工歯の位置が頰側に外れていた.そこでまず顎堤上に排列したが,如何せん上顎天然歯との咬合接触面積が少なくなってしまったため,若干頰側に戻した位置を最終的な下顎の人工歯の排列位置とした.
人工歯の位置を変更したことが災いしたためか,11年10月,右上6の歯の動揺が大きくなり,このままでは連結固定してある右上5に悪影響を及ぼすため,抜歯した.装着されていた金属の冠をそのまま人工歯として再利用した.
2014年3月,左上4のメタルボンド冠が破損し,コアとともに脱落した.同日,破損部を修理し,再合着した.15年11月,左上4のメタルボンド冠が再び破損した.17年8月,左下6の遠心根が歯根破折した.この歯は,近心側が左上5と咬合しているので,通常は近心根の破折を疑いたくなるが,実際は遠心根であった.左下7にクラスプを新製し,除去した左下6の冠を人工歯として,再利用した.
2017年11月,初診から15年2ヵ月,初診終了から13年8ヵ月後の状態.この間,初診時に抜歯した保存不可能な右下3を除き,11年に右上6,および17年に左下6の遠心根を失っただけであることから,経過は良好と言える.しかし,12年8月の右上5のデンタルX線写真からみてとれるように,支持歯槽骨がほとんど存在しない状態で,17年まで保っているということは,言い換えれば右側ではほとんど咀嚼していないことになる.11年に行った人工歯排列位置の改変は効果がなかったように思われる.なお,左上1,2の予後が心配であったが,特に問題は生じていない.
今後も,左側の咬合支持歯である左上3,4および左下4あたりが咀嚼の中心となることから,同部の歯に将来問題が生じる可能性が高い.
義歯装着時の状態.初診終了から約14年経っても,これほどレストの適合に変化がみられない症例はほとんど経験していない.このことは,咬合力が弱いことを意味するのか?もしくは,義歯ではまったく咀嚼せず,左側の咬合支持歯のみで咀嚼しているのかもしれない.
2019年11月,咬合支持歯である左上4に恐れていた歯根破折が生じ,遂に抜去せざるを得なかった.左上5は歯周ポケットが最大4mm,しかし動揺が著しかったので,根面板に変更した.
さて,このまま左側で咬むと,左上3と左下4の勝負になるが,左上3が負けて歯根破折が生じると,上顎前歯のブリッジ全体に影響を及ぼすことに繋がる.右上2の近心で切断することになり,一番避けなければいけない咬合形態である左右側すれ違い咬合に陥る.
そこで何としても左上3の歯根破折を阻止するために,対合歯である左下4を抜去し,左上4に移植する治療計画を立て,患者さんの了解を求めた.患者さんは,最初は了解して頂いたが,その後やはり左下4の抜歯はどうしても嫌であるとのことであった.その後,新型コロナの影響かあるいは私が左下4の移植を強く勧めたのが災いしたか,来院が途絶えている.


