26.根面アタッチメント辺縁歯肉の開放および咬合支持歯のトラブル
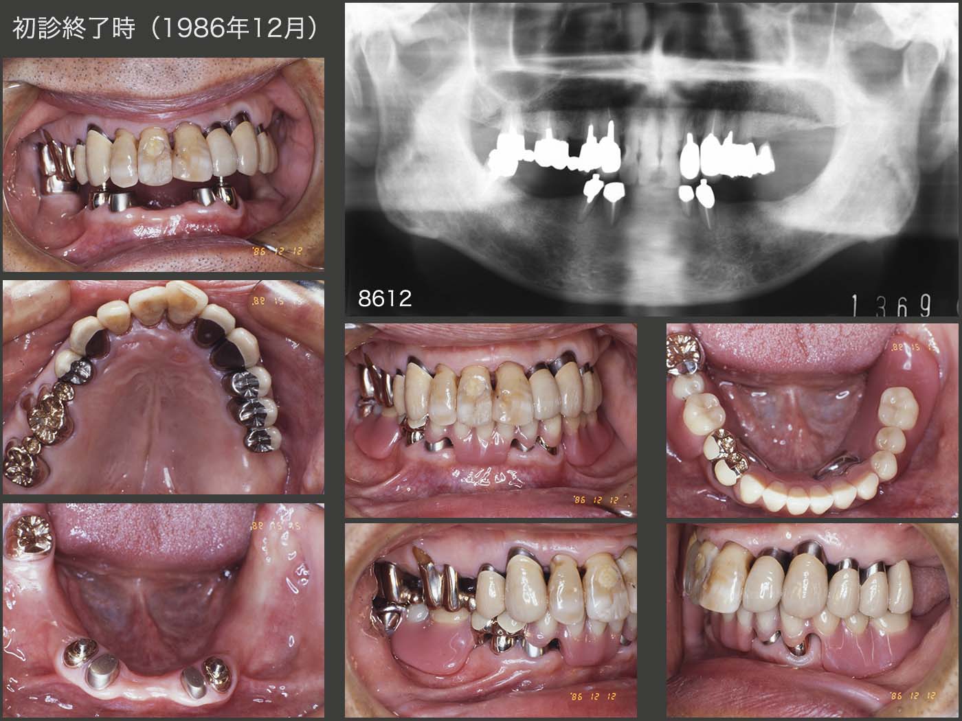
初診は1985年6月,59歳男性.東京歯科大学病院時代の症例であり,保存科にて,抜歯,抜髄等がなされ,補綴処置を私が引き継ぐことになった.パノラマX線写真は,84年9月,保存科受診時の状態である.臼歯部の咬合支持歯は2個所であるが,右下4は何時歯冠破折するか分からない状況なので,咬耗は大きいながら,しっかり咬合している右側の上下7がこの症例のキイ・ティースである.
義歯装着の経験はなく,どうしても前歯で食事をとっているため,下顎前歯の歯周病が進行していた.本来なら総合的な一口腔単位の観点から,まず下顎に暫間義歯を装着し,下顎位を確保してから保存処置を行うべきであるが,この当時大学病院においてはこのような考え方あるいはシステムはなく,科別診療が行われていた.私自身もまだ卒後5年目,大学院を修了した年であり,全く臨床の基本が分かっていなかった.特に,咬合支持という概念は全くなく,また今であったら絶対にあり得ない右上3,6,7,右下7,左下2,3の抜随を再度保存科に依頼してしまったことは,痛恨のミスである.なお,この間も義歯は製作せず,あくまでも保存科での処置が終わってから,補綴するという考えに固着していた.
1986年12月,初診終了時の状態である.左上④⑤6には延長ブリッジを装着した.また,右上のクラウンは連結せずに単独で製作したことは,対合が義歯であることを考えれば,妥当な処置であった.右下4および左下3には,Baer stepped anchorアタッチメントを装着した.
2007年4月,初診終了後20年4か月の状態である.スライド10〜12で考察するが,この間,合計7本の歯を失った.また,右上1,2および左上1に歯冠破折が生じた.96年,上顎に義歯を新製した.
02年に脳梗塞を患い,何とか5年間,片道2時間以上かけて通院して頂いていたが,07年4月以降通院不可能となり,08年他界された.
ここで,初診からの治療を振り返ってみる.初診から9ヵ月経って,やっと下顎に暫間義歯を装着することになった.(9ヵ月も患者さんに不自由な食生活を強いてしまい本当に申し訳ない.)なお,右下4および左下3には暫間のOPAアタッチメントを仮着した.この際,右下7は抜髄のために咬合面の一部を削去しているのに対して,右上7は抜髄のため挺出している咬合面をすべて削去していることが判明した.本来なら,ここが唯一の咬合支持であるから,ここの咬合状態を保全したうえで,上顎暫間被覆冠および下顎暫間義歯の製作を行わなければならないはずである.今となっては確認できないが,右上7を削去した分,下顎位が若干低下している可能性があるかもしれない.
暫間の補綴装置を装着し,特に問題がみられなかったことから,最終補綴装置の製作にとりかかった.まず,上顎の補綴装置を先行した.つぎに,右下7のクラウンを製作するに当たって,暫間義歯を装着した状態で印象採得することで,咬合採得も同時に行った.再三述べているように,右側の上下7の咬合が下顎位の決定にとって重要である.
さらに,下顎の最終義歯を製作するに当たって,今回も暫間義歯を治療用義歯として応用した.なお,その前に暫間アタッチメントを最終アタッチメントに変更した.
暫間義歯を用いて印象採得と咬合採得を同時に行うことは,フルデンチャーでは珍しくないが,少数歯残存症例のパーシャルデンチャーにも応用可能である.歯科技工士が常駐していないと大変ではあるが,折角,暫間義歯で決定し,経過をみた下顎位であるので,そのままトランスファーするほうが理にかなっている.
1)暫間義歯の義歯床のアンダーカット部を取り除く.(クラスプがかかっている場合は,外しておく.)
2)クラスプをかけたい右下7の部分トレーを製作しておく.(同部の印象採得を行い,模型を作った後に各個トレーを製作する要領で行う.)
3)暫間義歯を用いて咬合圧印象.印象材が硬化したら一旦外し,右下7部にはみ出した印象材を切り取る.
4)暫間義歯を口腔内に戻し,部分トレーを用いて右下7の印象採得を行う.
5)印象材が硬化したら,部分トレーと暫間義歯を即時重合レジンで繋げ,撤去の際の印象材の変形を防止する.
6)石膏を注ぎ,硬化したら部分トレーのみを注意深く撤去する.咬合器にマウントして咬合採得が終了する.最後に暫間義歯を撤去する.
この時は,アタッチメントをピックアップしたが,セメント合着の際の浮き上がり等の問題があるため,現在は合着し,石膏上で上部構造体を製作している.金属床とアタッチメントの上部構造体とを別々に製作しているので精度は向上する.アタッチメント・フィメールと上部構造体は,模型上でロウ着した.しかし,これも現在は,最終義歯が問題なく使用できることを確認したうえで,最後に口腔内で止めることが多い.即時重合レジンあるいは光照射で硬化するレジンセメントでほんの少し合着する場合があるが,上部構造体に遁路を設け,絶対に浮き上がらないように注意する,非常に繊細な作業を有する.
この症例においては,支台歯辺縁歯肉の開放に拘った.なお,暫間義歯の際に,特に舌側の異物感等の確認をしておく必要がある.患者さんによっては,支台歯辺縁歯肉を開放した箇所に異物感が生じ,受け入れられない人も少数ながらいる.
当時,唾液による自浄性に加えて,積極的に義歯を装着したまま歯ブラシや歯間ブラシを使用することを患者さんに勧めてきた.しかし,残念ながら患者さんは義歯を外してブラッシングしており,私の目論見は外れた.
支台歯辺縁歯肉を義歯床で被覆している症例で,甘味好きの人は早期に根面カリエスになる確率が高い.エナメル質に対してセメント質は耐酸性が弱いことは明白である.したがって,根面アタッチメントを用いる必要がある症例においては,なるべく辺縁歯肉を開放したい.しかし,費用の制約があるため,全員に行うことは不可能である.この場合最低限,唇頰側は開放するように心掛けている.
また,費用がかかってもよい場合の欠損歯列の補綴処置においては,有髄歯および2次固定の有利さを鑑み,最近はコーヌス冠を用いた義歯を製作することが多い.今現在根面アタッチメントを用いるのは,無髄歯であり,側方力が加わると歯根破折しやすそうな条件の悪い支台歯に対してである.
1996年5月に,上顎にパーシャルデンチャーを製作した.まず,概形印象を採得し,支台歯の前処置を行う.(本来は,アタッチメント製作時に同時に行うが)アタッチメントのメール部は咬合平面に垂直に製作されており,義歯の着脱方向となる.ここでは左上4を例に挙げるが,アンダーカット量1/4を得るとなると,サーベイラインとアームの位置関係が好ましくない.(スライド中央,上から2番目の形態になってしまう.)そこで,赤塗りの部分を口腔内で削去した.中央上から3番目の作業用模型においては,良い形態のアームになっている.このようにクラスプを用いる際は,必ず前処置を行い,所定のアンダーカット量,クラスプ体部の軸面,サーベイラインの確認をしたうえで,作業用模型の印象採得を行わなければならない.
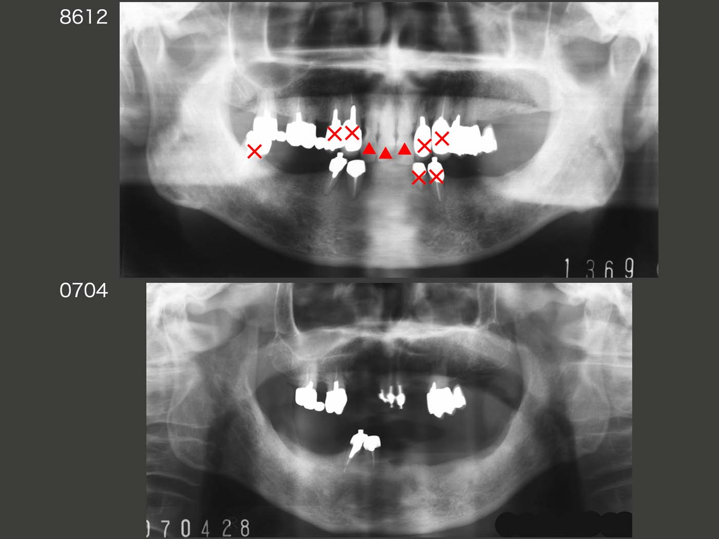
上顎において,この20年4ヵ月の変化は,スライドに記載してあるとおりである.すなわち,下顎に対合歯のある主に前歯部にトラブルが発生していることが分かる.最終的には,歯冠破折で残根状としたりあるいは歯根破折で抜歯となったが,その前に,何度かコンポジットレジン修復を施したり,再合着を繰り返してきた.
1986年初診終了時と,2007年初診終了後20年4ヵ月を比較したパノラマX線写真.赤印の×は抜去した歯であり,△印は歯冠破折した歯である.このスライドをみて明らかなのは,咬合支持歯に将来トラブルが生じるという事実であろう.一般的には上下の咬合支持歯同士でいわば勝負の形となってしまい,一方が抜け,もう一方が残るというようなことを多く経験している.しかし,残った方に全くダメージがない訳ではなく,今回の症例のように,最終的に双方が喪失してしまうこともある.一方,左上の延長ブリッジのように,力学的には不利であっても,そこであまり咀嚼せず,良く磨いていれば長持ちする.
結局,いくら上手なパーシャルデンチャーを装着しても,人は上下に歯があるところで主に咀嚼してしまうのである.やはり,咬んでいるという食感・美味しさを求めているのであろう.したがって,我々歯科医の最も重要な仕事は,歯根膜のある歯を抜かないことである.(加圧要素が強く,相対する顎堤の吸収が大きい場合は積極的に抜去することもあるが)また,特に咬合力の強い人は咬合支持歯がトラブルになるという前提にたって,治療方針を立案する必要があると痛感する.
