21.パーシャルデンチャー31年7ヵ月経過症例
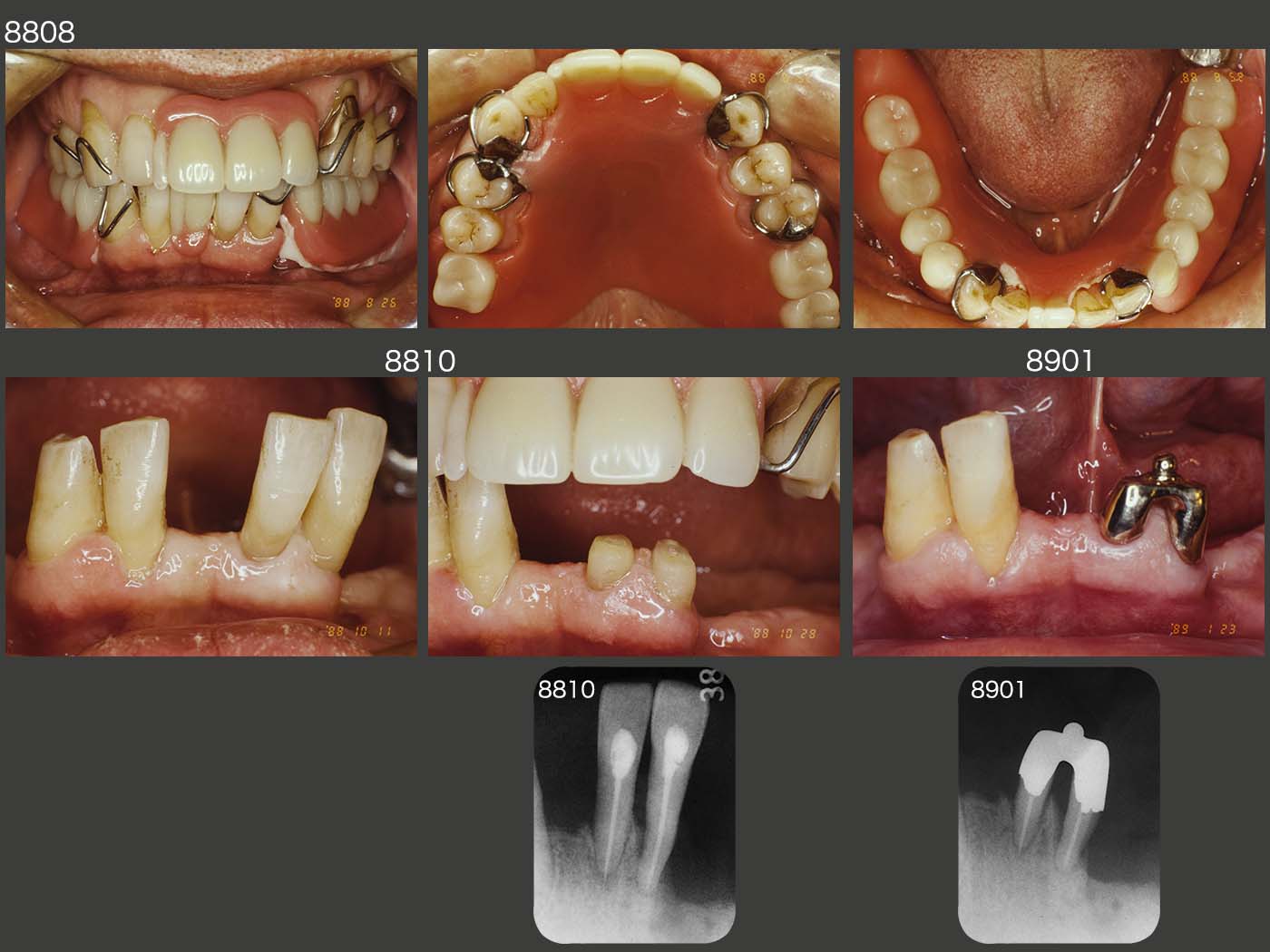
1988年4月初診,51歳男性.主訴は,左下3の歯肉が腫れた.右上6,左上6,7,左下3および右下6,7の歯周ポケットは10mm以上あり,当時の私の実力では保存不可能であった.特に,右側の上下6を抜去したため,臼歯部の咬合支持がなくなり,下顎位は右側の上下2,3で保持されていた.と言っても,当時の私は咬合支持と言う概念はなく,この後下顎位を全く無視した治療を行ってしまった.
保存不可能な歯の抜去後,上下に暫間義歯を装着した.この時は右側の上下2,3が咬合しており下顎位は正しいと思われる.
左下1,2の歯周ポケットは最大5mmであったが,歯の動揺が著しく大きく,治療方針をどうするか悩んだ.最終的には抜髄し,着力点を下げることで歯の動揺を抑えようと目論んだ.また,たまたま根管の平行性が得られたので,連結固定した根面板にアタッチメントを付与し,歯の動揺をさらに少なくした.(今なら,抜髄せず,舌側に3/4冠を装着し連結固定すると思う.それでも歯の動揺が収まらなければ,右下2,3を含めて連結固定すると思われる.)
1989年6月,初診終了時の状態.左下2の近心に6mmの歯周ポケットが存在したが,ここ以外は5mm以内に収まった.アタッチメントはBona 604Aを用いた.なお,根面板を連結固定してアタッチメントを付与した症例は,後にも先にもこのケース1例だけである.
初診終了時の義歯を装着した状態.左下の根面アタッチメントの支台歯辺縁歯肉を開放し,唾液による自浄性の向上を図った.
さて,ここで大変なミスを犯してしまった.それは,右下2および3に切端レストを付与してしまったことである.すなわちこの分,咬合が挙上してしまった.(言い訳になるが,右上3,4間が空いていることから,右下3の突き上げで,右上3がフレアーアウトしたと考えれば,咬合が少し低くなっていたとも考えられる.そこで切端レスト分咬合を高くしたという屁理屈も成り立つ.しかし,長い年月をかけて徐々に下がった咬合を昔に戻してはいけないと今は考えている.)咬合を挙上すると,一般的には咬合力が強くなってしまう傾向がある.特に咬合力が元々強い人の咬合を挙上してしまうことは,さらに咬合力が増してしまうので大変危険である.
上段の写真は1995年8月,初診終了後6年2ヶ月の状態であるが,生体は残存歯の動揺,人工歯の摩耗,義歯床下の顎堤の吸収等を伴い,安定する咬合の高さに戻ろうとする性質をもっている.その結果として,切端レストの破損が生じたものと思われる.
2000年5月,左下アタッチメント装着歯の動揺が著しく増加し,痛みが出るようになったため抜去した.それでも,アタッチメントを装着して11年4ヵ月機能してくれた.
その後の経過であるが,2010年10月,初診終了後21年4ヶ月の経過観察の時,これまでまったく問題がみられなかった上顎義歯にシーソー運動が認められた.よく観察すると,スライド上段左に示す09年10月と比べて,上段中央に示す10年11月のクラスプのレストの適合が悪くなっていた.なお,この原因は上顎両側犬歯が何らかの理由で挻出したからではないかと考えている.当時は,レーザー溶接機が当院になかったので,金属床を修理するとなると外注せざるを得なかった.そうなると日数がかかるため,まず簡単な暫間義歯を製作した.(スライド上段右)つぎに,上顎両側犬歯のクラスプを除去し,同部の印象を採得したが,その状態が中段左の写真である.義歯床,犬歯以外のレストの適合は問題ないことから,やはり犬歯のクラスプが定位置に収まらない,すなわち歯の移動が生じたのではないかと思われる.
11年3月,左下8の舌側に根面カリエスがみつかった.もう一度,リングクラスプをかけるとなると同部の清掃性の改善は期待できないので,金銀パラジウム合金を用いたコーヌス冠に支台装置を変更した.ここでは,2次固定を目的とはせず,単に清掃性を重視したことによる.
11年4月,右下2,3の支台装置の適合も悪くなってきたので,再製作した.今度は当然,切端を覆うことはない.
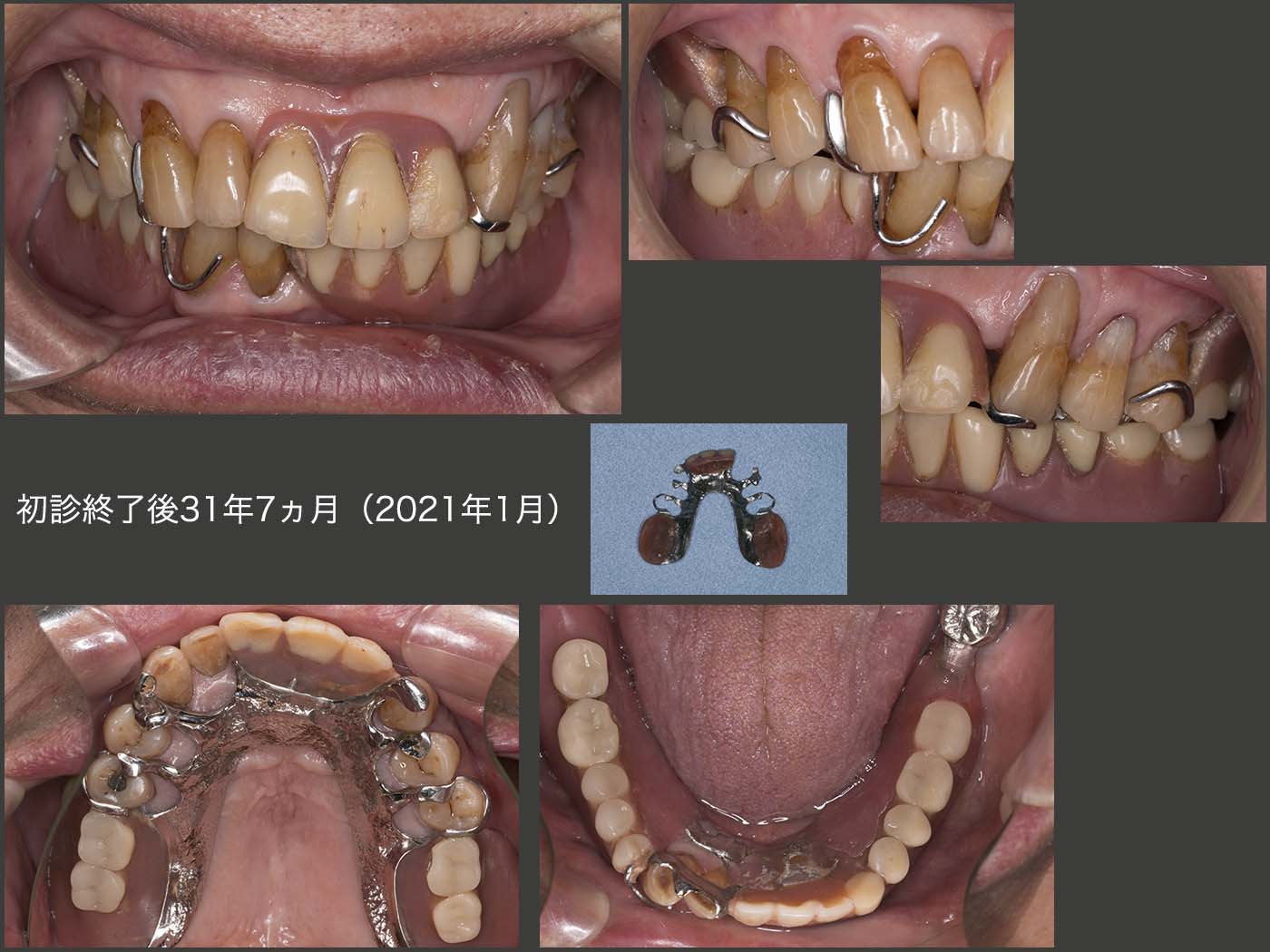
2021年1月,初診終了後31年7ヵ月の状態.上段左に示す1995年8月のデンタルX線写真と比べて,25年5ヵ月後となる上段右に示す21年1月の状態は,左下1,2が失われ,右上5が根面カリエスから抜髄(00年4月)された以外はほとんど変化がみられなかった.特に,歯周ポケットに変化がみられなかったことから,歯の清掃性はまずまずであり,患者さんが力をあまり加えないで上手に咀嚼できたことが功を奏したのではないかと推察する.なお今回,左上の4,5の根面カリエスにコンポジットレジン充塡を行った.
2021年1月,初診終了後31年7ヵ月の義歯装着時の状態.下顎の義歯においては,2〜3年に1回の割合で,義歯が破折し,その度に修理およびリライニングを行っている.一般的に支台歯が片側に偏った症例は,義歯の維持安定を得るのが難しい.しかし,たまに修理およびリライニングを行う以外,咀嚼にそれ程不満を訴えなかったことは,左下8の存在が大きいと思われる.(上下顎に犬歯が4本残存している症例においては,義歯の維持安定が得られやすい.今回は,左下3の役目を左下8が多少なりとも担ってくれたと考えている.)
これに対して,上顎においては,スライド6で述べた両側犬歯の支台装置交換以外に修理を行った記憶がない.また,31年7ヵ月,一度もリライニングを行っていないことは,大変な驚きである.咬合力の大きさの程度,対合歯の加圧要素の存在,受圧要素として,支台歯が両側にあるか否か等の条件が良ければ,長期間義歯が安定すると教えていただいた.
