19.右下犬歯欠損の影響が大きかった症例

 初診は2004年12月,56歳男性.右下ブリッジがグラグラするが主訴.保存不可能な右下7を抜去後,歯周基本治療を行い,一旦治療を終了した.
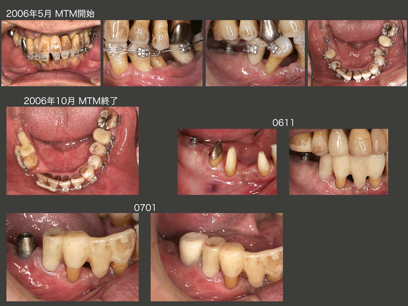
 05年,左下6近心根に歯根破折が生じたため,ヘミセクションを行った.咬合支持歯が少なくなり,大分咀嚼しにくくなったため,やっと患者さんは本腰を入れて治療を受ける気になった.06年1月,術者も臼歯部咬合支持の獲得に向けて,治療を開始した.ここで,右下3が埋伏しており,機能していないことが気になった.

 まず,近心傾斜している右下4および歯列から外れている左下5のアップライトを目指し,2006年5月,歯科矯正を開始し,10月終了した.これで,右下4の抜髄は避けることができた.しかし,右下⑤④3②のブリッジのみで,右側の咬合を全て担うのは難しいと考え,12月に右下6部にインプラントを1本植立した.但し,ブリッジとインプラントとを連結固定する必要まではないと考えた.

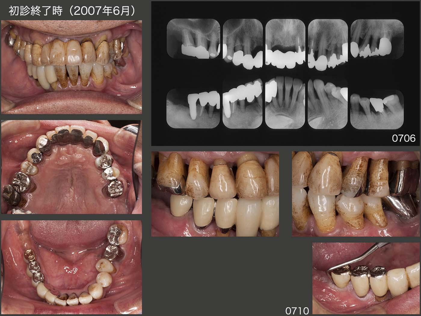
 2007年6月,右側の咬合支持を確保したところで初診終了となった.アップライトした左下5を隣在歯と固定するか迷ったが,今回は固定せず経過をみることにした.喫煙の習慣があり,歯周ポケットも存在することから決して予断が許されない症例であると認識していた.
 07年10月,1回目のリコール時に右下のインプラントのポケットが10mmの値を示し,唖然とした.しかし,ここでいきなり再治療とはいかず,患者さんによく説明し,経過をみることになった.
 しかし,08年に1回,左下7のインレー脱離でいらしたあとは,14年までの約6年間,来院が途絶えてしまった.

 2014年5月,6年ぶりに,インプラントが脱落したとのことで来院された.私としては,よくここまで保ったものだと逆に感心してしまった.(私の稚拙な手技で早期に脱落してしまったことに対しては,本当に申し訳ない.)右上7は自然脱落したとのこと.
 右下のブリッジの動揺は著しく,右側での咀嚼は難しく,左側のみの咀嚼にならざるを得ない状況であった.その結果,上顎左側の歯周病が進行してしまった.特に,左上4の近心は9mm,左上6は全周に10mmの歯周ポケットがみられた.

 2014年7月,左上4の自然挻出を開始し,11月歯周外科を行った.左上6は暫く様子をみたが,結局抜去した.06年にアップライトを行った,左下5は,舌側に後戻りがみられたため,もう一度アップライトをし直し,抜髄を回避すると同時に,今回は2次固定で対応することにした.
 15年9月,左側の上下にコーヌス義歯を製作し,2次固定効果で左側の咬合・咀嚼力に対抗しようと目論んだ

 しかし,2019年2月,左上4に歯根破折によると思われる歯肉膿瘍が生じ,左側の歯の咬合・咀嚼力に対する荷重負担を伺わせた.このままでは,順次左側の咬合支持歯を失っていくサイクルに突入すると考え,何とか右側でも咀嚼できるようになる手立てはないかと熟慮した.
 そこでまず,下顎前歯を取り込んで連結固定することで,右下のブリッジの動揺が収まるかの検討を行いたく,患者さんにその旨をお伝えし,了承を得た.

 下顎前歯と元の右下ブリッジの支台歯とを連結固定することで,動揺は何とか収まったように見受けられた.しかし,右側で咀嚼できるかと言ったらやはり心配であった.そこでもう一回,右下6部にインプラントを植立する計画を立て,実行した.今回は直径3mmの細いインプラントを使用し,インプラントで咀嚼するというより,あくまでも前方の支台歯と連結固定することで,支台歯の動揺が減少することを一番に期待した.
 なお,下顎残存歯を全て支台歯とすることから,着脱方向に対しての支台歯の形成面が6°となる必要があるが,なるべく抜髄を避けるように,数回に分けて形成を行い,歯髄の退縮を期待した.またマージンの位置を歯肉縁上になるよう高く設定することで形成量を少なくした.さらに,右下2については,暫間被覆冠を装着する際にわざと矯正力を加えて,歯を近心に傾斜させた.左下には,2015年に装着した片側処理のコーヌス義歯が存在している.これを新しく製作する義歯に取り込もうとしたところ,新しい義歯の着脱方向に対して左下5の内冠の遠心がアンダーカット域に入ってしまうため,同部の削去を行わざるを得なかった.その結果,左下5のコーヌス冠の維持力は無くなってしまった.その後,右下1は残念ながら失活してしまった.
 やり繰りは大変であったが,20年2月に,まず下顎にコーヌス義歯を新製した.

 続いて,上顎コーヌス義歯の製作にとりかかった.まず,2020年3月,歯周病が悪化したため右上6の頰側根を抜去した.口蓋根は保存した.上顎も左側には15年に装着した片側処理のコーヌス義歯があるが,新製したコーヌス義歯と左上2,3間でレーザー溶接した.コーヌス義歯はこのように将来の変化に対応できる利点がある.レーザー溶接はロウ着に比べて,強度が落ちる.しかし,前装部分および義歯床を燃やさないで済むという利点がある.もし将来,溶接部で破折が生じれば,大変であるがロウ着に切り替えなければならないことは覚悟している.
 上顎に新製コーヌス義歯を装着後,歯根破折していた左上4を遅ればせながら,抜去した.20年7月,今回の治療はひとまず終了した.

 2020年7月,支台歯の状態.右下2の根尖に透過像がみられ失活している可能性があるが,症状が無いので経過をみることとした.患者さんは,現在は禁煙しており,歯の清掃もしっかり行ってくれている.何とか今回はインプラントが長持ちして欲しいと祈念している.
 それにしても,もし右下3が埋伏していなかったら,全く違う展開になったのではないかと思う次第である.