インプラント
1.インプラント長期経過例
1986年1月初診,31歳男性.当時私は,東京歯科大学病院に勤務しており,その時に担当した患者さん.主訴は右下67の欠損補綴を希望.大学には83年,日本で初めてブローネマルク・インプラントが導入された.歯科医師になって6年目の駆け出しの私としては,ぜひインプラントを用いた治療を行ってみたく,うずうずしていた.丁度同級生にインプラントに詳しい先生がいたので,助手についてもらい,ITIインプラントを植立した.
当時のインプラントはネック部が細く,大きな咬合力には耐えられないと判断し,咬合面をできるだけ小さく製作した.今のインプラントの太さならばもう少し大きく製作できる.しかし小さく製作したことがインプラントに加わる力の軽減に繋がり,インプラントの長期保存に貢献した一つの理由なのかもしれない.
1997年まで,大学病院で定期健診を行っていた.その後暫く拝見することができなかったが,2008年以降,私の診療室まで何時間もかけて通院してくださるようになった.右下のインプラントは30年経過しても順調だが,この理由は2つあると考えている.まず,先にも述べたが咬合面の面積を小さく製作したことが挙げられる.つぎに,インプラントでは嚙んだ時の食感が少ないことから,上下顎に歯のある左側で主に咀嚼していたからと考えている.しかし患者さんは,右側でも咬んでいるとおっしゃっているし,左側の歯に特に問題が生じていないことから,確かに両側で咬んでいるのかもしれない.
2.インプラント周囲炎発症
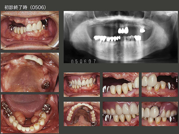
1994年11月初診,当時47歳の女性.2007年5月に左下6の近心根を歯根破折にて抜去した.そして,11月に直径5mm,長さ10mmのインプラントを植立した.スライド上段右端に08年1月,硬質レジン前装冠装着時を示す.今になって思うと,顎堤の近遠心的な距離があるので直径5mmを選択したが,頰舌側の距離がないことから,骨の水平的拡大が必要,あるいはこのサイズのインプラントの適応症ではなかったと反省している.そのためか,数年後にインプラント周囲炎が発症してしまった.
2014年10月までインプラントの経過をみていたが,この時点で歯周ポケットが最大8mmとなったため,フラップを開け,中の掻爬を行った.しかしその後も改善せず,16年9月に硬質レジン前装冠を外し,再度掻爬を行った.清掃しやすい環境にして3ヵ月経過をみたが,まだ改善傾向を示さなかった.そこで12月にまず頰小帯を切除し,その後に掻爬術を施す治療計画を立て,患者さんに協力頂けるようお願いしてみた.快諾を得,背水の陣で3回目の掻爬を17年1月に行った.歯周ポケットは唇側でまだ5mm残っているが,歯肉の状態は改善した.6月,インプラントをロスしても対応できるように可撤式の補綴装置を装着した.
この患者さんは右咬みなのか,2015年7月に5mmであった右上5の歯周ポケットが16年2月には9mmと,歯周病が急に悪化した.そこで仕方なく右上5の抜髄を行い,自然挺出を行った.8月まで3ヵ月間挺出したのち,同月歯周外科処置を行った.歯周ポケットは3mm以下に改善したが,歯の動揺が残ったため,右上4と連結固定した.
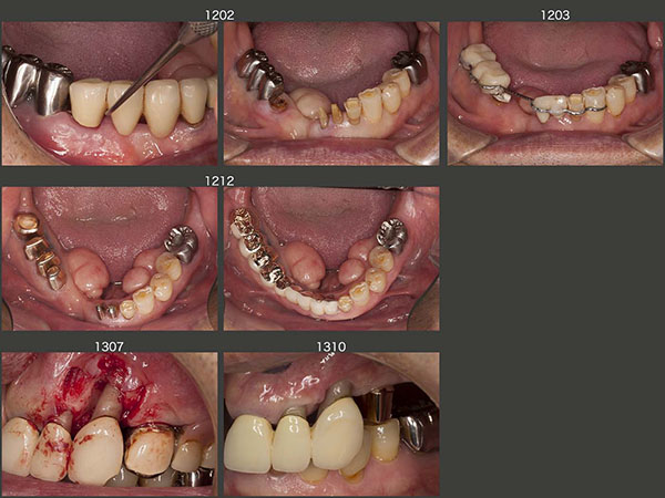
右下には,右下6,7それぞれの遠心根を支台歯としたブリッジを装着していたが,06年に右下7の遠心根が保存困難となり抜去した.その後,右下6の遠心根は孤立歯の状態のまま10年が経過した.右側の大臼歯部の咬合接触面積が少ないことが,右上5の悪化に繋がったと反省し,今回は右下大臼歯部もしっかり咬合させることにした.まず,右下6の遠心根をアップライトし,歯軸を改善したのち,コーヌス義歯を装着した.
3.インプラントを用いて口蓋を開放
2005年11月初診,53歳女性.左上コーヌス義歯は,7年前に他院にて製作.一般的には上下顎に歯が沢山残っている右側で咀嚼すると思われるが,本人は元々左側咬みで,義歯を入れてからも左側の方が咬みやすいとおっしゃっていた,珍しいケース.初診時は,左下5のう蝕処置のみを行い,06年5月から右下5〜7の治療を行った.スライド中段は,06年5月の上顎の状態.
特に問題なく経過したが,12年12月,左上4に歯根破折が生じ,自発痛も生じたので,抜歯せざるを得なかった.左上3のみの片側処理の義歯は無理なため,抜歯と同時に右上5にクラスプを付与した大連結装置を追加した.しかし,口蓋を覆ったため異物感,発音障害を強く訴えられた.
2014年8月,今回の治療が一区切りついた時の状態.この症例で片側処理の補綴を行う場合は,インプラントの助けが必要となる.植立位置は,上顎洞の前後とし,7mmおよび8.5mmの長さのインプラントを用いた.固定式のブリッジでも補綴処置は可能であるが,過去に可撤式の義歯を使用していた経験があること,また支台の清掃性を重視したいことから,コーヌス義歯を選択した.
しかし一つ大きな問題点がある.それは,インプラントをコーヌス義歯の支台とする場合,維持力が強くなり過ぎることである.コーヌス冠が天然歯の場合,咬合力が加わると歯根膜の弾性により,歯が若干圧下する.しかしインプラントは圧下しないために,外冠が必要以上に内冠に食い込んでしまう.外冠咬合面の内面に箔を貼り,外冠が変形して食い込むのを防ぐようにしても,インプラントの場合は,箔が咬合力により直ぐに潰れてしまう.これは避けられない問題であるが,この患者さんは着脱機を用いて,義歯を外してもらっている.(もちろん,最初から説明,納得してもらっている.)
上顎の歯槽骨はほぼ海綿骨で,インプラントを支えるにはあまり適していないことから,今後の経過を注意深く観察する必要がある.(20年11月現在,特に問題なく経過している.)
4.犬歯を守るためインプラントを使用
2005年6月初診,48歳男性.う蝕,根尖病巣,不良補綴装置,上顎義歯の製作等総合的な治療を行い,06年10月に終了した.この患者さんは上下に咬み合っている歯数の多い右側で主に咀嚼するはずであるが,前述症例3の患者さんと同じく,義歯が装着してある左側が咬みやすいとおっしゃっていた.(義歯側が咬みやすいと言った患者さんは,私の知る限りでは2名のみ)
2008年1月,左上3のレストが破折した.レストの強度が足りなかった可能性があるが,確かにこの患者さんは左側咬みなのか?と思った.09年6月,今度は左上2に歯根破折が生じた.幸い,破折部が浅かったので,再植することで保存できた.
患者さんは,相変わらず左側が咬みやすいとのことで,私としては左上3が歯根破折を起こすことだけは何とか避けたかった.左上3が有髄歯ならそれ程心配する必要ないが,2回続けて左側にトラブルが生じたこと,左上3が失活歯であることを考慮し,左上4部に7mmの長さのインプラントを1本埋入した.なお,インプラントの上部構造に磁性アタッチメントを使用したので維持は十分であることから,審美性を配慮し左上3の唇側ワイヤークラスプを除去した.また,インプラントの周囲を開放し,清掃性の向上に努めた.さらに,右上5および7に架かっていたクラスプを1本にして,口蓋を覆う大連結装置の面積を少なくした.
2014年11月のリコールの時,右上5の頰側の歯周ポケットが急に10mmの値を示し,この歯の歯根破折を疑った.しかし,自覚症状はまったくなく,治療を望まなかったので,取り敢えずこのまま経過をみることになった.
しかし,何時抜歯になってもいいように,右上5にあったクラスプを右上4および6に作り直させていただいた.16年7月,ついに右上5に痛みが生じたため,抜歯した.なお,この歯に被っていたメタルボンド冠を支台装置と溶接し,人工歯として再利用した.
2017年10月,右下6の咬合時痛で来院.デンタルX線写真から遠心根の歯根破折と診断し,18年1月,ヘミセクションした.しかし,2月になっても,近心根の圧痛等が改善せず,歯周ポケットも10mmみられるようになったため,近心根も抜去した.なお,抜歯時,歯根の破折線を確認した.18年8月,右下4および5を支台歯とするコーヌス義歯を装着した.20年7月,右下5の内冠がコアごと脱離し,再合着した.コアを作り替えずに,内冠を製作したが,ポストの長さが足りなかったと反省している.
結局,この患者さんの習慣性咀嚼側ははっきりしない.左上3およびインプラントは今のところ何も問題が生じていないが,今後,注意深く経過を観察する必要がある.
5.インプラントを用いて、総義歯への流れを阻止
2004年6月初診,65歳男性.上顎前歯がグラグラするが主訴.下顎の骨隆起が著しく大きく,咬合力が強そうな感じ.咬合も低下してしまっている.このまま総義歯への流れに誘導する考えもあるが,本人は今ある歯をできる限り,残したいとのこと.右上2は歯周ポケットが根尖まで達しており保存できなかった.左上1〜3は歯周ポケットが最大8mmみられたが,歯周外科を行い5mm以下にすることができた.
2009年6月の状態.左上3の歯周ポケットが近心から口蓋にかけて10mmに増悪してしまった.パノラマX線写真とスライド中央右端に示す05年のデンタルX線写真を比較すると,09年は明らかに歯槽骨が吸収している.
歯が失活した可能性が否定できず,念のため無麻酔下にて舌側から穿通したところ,知覚があり,結局有髄のままであった.患者さんのブラッシングは大変良い.また左上1〜3は,中心咬合位では咬合しないように配慮し(結果的に間違いであったが),また,ここで食事をとらないようにお願いし,さらに,3歯を連結固定することで咬合力に対抗したことから,結局この歯槽骨の吸収の大きな要因は,よくわからない.しかし,何らかの大きな力が加わっているのであろうと推測している.
以前,私は咬合低下症例の義歯製作にあたって,わざと義歯の咬合を少し高くして,前歯に力が加わらないようにしていたことがある.しかし,今はこの考え方を否定している.前歯で力を感じ,この刺激が脳に伝わり,その結果咬合力が抑制されるという考え方がある.また,咬合を挙上すると,咬合力自体が増大してしまうという説がある.そして,数年経って残存歯あるいは顎堤を破壊し,咬合を挙上する前の位置に結局戻ってしまう.この症例も義歯装着時において,義歯の臼歯部のかみ合わせを若干高くし,前歯が当たらないように製作してしまったが,09年6月の時点で,左上1〜3の前歯がしっかり咬合するところまで義歯の咬合調整を行い,咬合を低くした.その結果,左上1に掛かっていたレストがほぼなくなってしまった.
この先,このまま経過を観察し,いつか総義歯にもっていくか,あるいはここで積極的に介入し,総義歯にならないようにするか否かを患者さんに問うたが,患者さんは後者の気持ちが強かった.そこで,インプラントを2本植立する治療計画を立案した.
2012年2月,右側でも咬めるようになったためか,ブリッジの支台歯である右下5にセメントアウトが生じた.片側脱離であったが,ブリッジ全部を除去する羽目になった.右下5は矯正的挺出を行い,歯肉縁上歯質を確保した.もう一回,固定式のブリッジの装着も可能であるが,またセメントアウトが生じる危険があること,あるいは歯根破折が生じた時の対応がしやすいことから,可撤式であるコーヌス義歯を装着した.
インプラントを装着したことで,左上1〜3に加わる力は減少したと思い,13年7月,左上3の歯周外科を再度行ってみた.しかし,残念ながら歯周ポケットの改善には至らなかった.
6.コーヌス義歯、術後対応でインプラントを使用
2003年12月初診の58歳女性.本格的な治療開始は,左下4の歯根破折による痛みが生じた06年3月から.まず,左下4を抜去し,当初はスライド下段に示すようなパーシャルデンチャーを8月に装着した.しかし,咬合面の金属色,左下3のクラスプの審美障害等から受け入れられず,結局インプラントを2本植立した.(06年9月オペ,07年5月補綴装置装着,スライド右下は07年11月,インプラント上部構造の咬合面は金属にして頂いた.)
その後の経過は,右側が咀嚼側になったためか,まず右上5が2013年4月に歯根破折した.続いて15年1月,右上3に歯根破折が生じた.右上3という防波堤を失ったため,直ぐに右上1,2もドミノ倒し的に歯根破折が生じると考えた.それを阻止する目的で15年9月,右上4部にインプラントを1本植立した.インプラントと骨が結合する待機中に,今度は右上2にフィステルが生じた.また歯根破折と考えたが,歯周ポケットが最大5mmであったことから,根尖病巣の再発あるいは歯根破折の両方が疑われた.根尖は大きく拡大していたため,通常の感染根管治療は無理と判断した.15年12月,この歯を抜歯してよく観察したところ,幸い破折線が認められなかったので,根尖病巣と診断し,通法にしたがって再植した.補綴装置は,歯になるべく側方力をかけたくなかったので根面板とした.
2019年2月に左上7を歯周病にて抜去した.4月,15年に再植した右上2および右上1にフィステルが出現したので,右上2については歯根端切除術,右上1については穿孔らしき部位をスーパーボンドにて閉鎖した.7月の時点では,フィステルは消失した.しかし,20年10月,右上2に再びフィステルが生じたため,今回はさすがに諦め抜去した.また左上4に歯根破折が生じ,抜去した.まだ支台歯が2本(右上1は危険な状態)とインプラントが1本あるので,義歯の安定は問題ない.しかし,総義歯に誘導するか,左側にもう1本インプラントを追加するかの判断をする時期は近い.(私は,総義歯で十分と思われるが,最終的には口蓋義歯床の違和感を患者さんがどの程度訴えてくるかによる.)
7.下顎総義歯にインプラント
上顎の総義歯は顎堤がある程度あれば義歯で十分対応できるが,さらに補綴装置の安定,装着感の改善を求めてインプラントを植立することも稀にある.しかし,将来インプラントに感染が生じた場合は,顎堤吸収を助長してしまう.特に長いインプラントを用いる場合は,顎堤の吸収が大きく,次に総義歯を製作するときに難症例に陥る危険性がある.すなわち,基本的には上顎にインプラントを用いる必要はない.どうしても口蓋の違和感,あるいは発音障害の強い人は,将来危険があることを良く承知したうえで,最小限のインプラントを用いるべきであろう.
下顎の総義歯も,上顎と考え方は同じである.しかし,下顎の顎堤のない症例に安定した総義歯を製作できる歯科医師は少ないであろう.私も自信がない.インプラントを使用できれば遥かに安定した義歯を製作できる.但し,上顎と同じで,感染が生じて撤去するような事態が生じた場合,その後に製作する義歯がさらに難症例になってしまうということは肝に銘じている.
症例1は,2002年に下顎に6本のインプラントを埋入した症例である.当時は,6本がスタンダードであった.これは,特に欧米人が固定式の補綴装置を望むことが影響しているのであろう.なお今現在,18年経過するが,特にインプラントに問題は生じていない.しかし,上顎の顎堤の吸収量が通常より多いような気がする.
その後,可撤式の義歯を用いる場合は少ないインプラントでも術後経過が良いことが分かってきた.そこで私も,可撤式の義歯にしていただき,最小限2本のインプラントを用いるようになった.(症例2〜4) 但しこの場合も,なるべく短いインプラントを用いて,もし感染が生じた場合,顎堤の吸収が最小限の被害ですむように心掛けている.
なお,症例4の右下のインプラント(15年装着)が20年10月に脱落してしまった.








