1.初診より32年経過症例
初診は1985年2月,49歳女性.東京歯科大学千葉病院勤務の時の患者さんであり,私は歯科医師になって5年目.全顎にわたり不適合な補綴装置が装着されており,歯周病も進行していた.歯周基本治療,歯周外科処置を施したのちに固定式のブリッジを製作した.
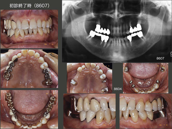
1986年7月,初診から1年5ヵ月後の治療終了時の状態.(スライド中段は,86年4月,ブリッジ装着前の支台歯の状態.)当時の自分は,これが精一杯の治療で,可撤式のブリッジ(コーヌス義歯)は考えていなかった.また,当時歯内療法は保存科で行って貰ったが,ここまで抜髄する必要があったのか疑問である.もう少し,有髄歯に拘って貰いたいと思うが,当時私を含めて,そこまでの考えには及んでいなかった.
しかし,1991年4月,上顎左右大臼歯に問題が生じた.まず,右上6については,歯周病が悪化し,近心から遠心にかけて3度の根分岐部病変が認められた.左上7は,口蓋根に根尖まで達する歯周ポケットが認められたため,口蓋根を抜去した.
右上6は,騙し騙し使っていただいていたが,94年8月抜歯に至った.そこで右上に,簡単な片側処理の義歯を製作したが,あくまでも飾り物に過ぎず,患者さんは左側で咀嚼せざるを得なかった.
この状態で約2年過ごしていただいたが,今度は咀嚼側である左上7の遠心頰側根が歯根破折し,同根を抜去した.
11997年3月の定期健診で右上3の歯の動揺が認められた.左側での咀嚼も不安定になり,右上の犬歯でも咀嚼しているのではないかと心配になった.このまま経過をみるわけにはいかず,ここでまた大がかりな治療が必要であることを患者さんに説明をし,了解を得た.
まず,左上のブリッジを撤去し,左上4および5を連結固定することで,咬合力に対する負担能力の増大を図った.続いて同様に,右上2および3を連結固定した.ここで口蓋にパラタルバーを通し,違和感に対する反応を調べた.
一方,期を同じくして,左下7の歯周病が悪化し,97年6月に抜去した.咬合支持歯すなわち主に咀嚼していた歯が順次壊れていくという悪循環がみられた.
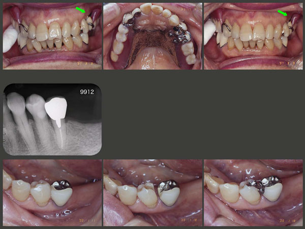
しかし,右側で厚径のある食べ物を咬むと,義歯が外れやすいとの訴えがあった.人工歯が顎堤より頰側に外れていると,咬合力が加わった際に回転モーメントが生じ,義歯の安定が損なわれる.本来はその義歯の動きを防ぐために,欠損部の反対側に間接支台装置(クラスプ)を配置しているが,回転モーメントの絶対値が大きいとクラスプの維持だけでは対応しきれない.そこで,人工歯大臼歯部の咬合面の頰側を削去し,咬合力が顎堤から外れないように調節した.
右上の人工歯部でロールワッテを咬んでもらうと,スライド左上では,反対側が浮き上がっているに対して,調節が終了したスライド右上では,その浮き上がりが減少しているのが見てとれる.(緑矢印の部分)
1999年12月の定期健診で左下4にう蝕が認められた.ここは,前歯部を除いて,上下に歯がある唯一のエリア(咬合支持域)のため,咀嚼時において一番使われる頻度の高い場所である.そこで,負担能力増強のため,左下4および5を連結固定した.
体調を崩し,通院が片道2時間以上かかる当院まで通うことが困難になり,2000年12月のリコールを最後に通院が途絶えた.連絡は年賀状だけであったが,17年2月,久しぶりにみせていただいた.しかし,驚いたことに,根面板を装着した左上7の近心頰側根を失った以外,この17年間何も問題が生じていなかった.パノラマX線写真をみると食事は左側の小臼歯部が中心になると思われる.左上5および左下5が無髄歯であるから,通常これらの歯に歯根破折が生じやすい.咬合力を上手く調節して咀嚼している,上顎に義歯が入っている右側でも結構咀嚼している等が考えられるが,これらの歯を連結固定したことも歯根破折の予防に繋がったのではないかと考えている.
上顎義歯に関しては,人工歯の形態を若干調整した.しかし,レストの適合,義歯床内面の適合等まったく問題がなかった.右下の残存歯が挻出し,右上の顎堤が吸収することはよく見受けられるが,この症例に至ってはまったくそのような所見はみられなかった.右下をブリッジにしたことで挻出しにくかった,あるいはなんだかんだ言って右側では,ほとんど咀嚼しなかったなど考えられる.私は後者ではないかと思っているが,よくまだ分からない.

