5.術者1年目症例の長期経過・咬合挙上
初診は1980年,48歳男性.私が歯科医師1年目の時の患者さん.初診時,残存歯は18本あり,歯周病がかなり進行していた.今なら保存できる歯があると思うが,当時の大学病院は科別診療で,歯周病を担当する保存科から戻ってきた時は,上顎5本,下顎4本と半分になっていた.また,残存歯すべてが抜髄されていた.
スライドは,83年7月,初診終了時の義歯装着時の状態.今になって見返すと,この時の咬合高径が高いのではないか?と思えるが,当時は全く頭をよぎらなかった.なお,この件に関しては,あとのスライド9でもう一度検討する.
右上4,5は連結冠,左上3,右下3,左下3にBona 604A根面アタッチメント,右上1,左上5および左下2,4に根面板をそれぞれ装着した.なお当時は,私自身が歯科技工を行った.
左下4は1988年に抜去した.
スライド上段に右上4,5の経過を示すが,1983年から2000年までは,経過年数に応じた咬耗がみられたが,00年から01年にかけて急激な咬耗が生じた.また01年6月には下顎の大連結装置が真二つに折れてしまった.これらの原因は,当時患者さんがおかれていた環境の状態,ライフイベントにおいて大変なストレスが加わっていたことが大きく影響を及ぼしているのではないかと推測した.
01年8月,アタッチメントのメール部がすり減ってしまい,維持力が全く失われた左下3を,The Baer Stepped Anchorに変更したのを機に,01年10月,再々度義歯を作り直した.
2003年4月,左下2の根面板を再製作した.07年6月には右上4に歯根破折が生じ,抜歯となった.対合が義歯にもかかわらず歯根破折が生じた例はあまり経験がない.09年10月,維持力回復のために右下3を再製作した.11年3月には,右上5を抜歯した.
上顎は右側に支台歯がなくなったため,左上3のアタッチメントによる維持力だけが頼りであるが,案の定,義歯の安定が十分に得られなくなってしまった.そこで11年9月,義歯床により口蓋を覆った.しかし,左上3が義歯の回転中心となり,同部の破損が何回か生じたため,メール部を除去し義歯床レジンの厚みを確保した.それでも同部の破損は収まらず,左上の2歯の抜去を考えた.しかし,患者さんの了解が得られなかった.そこで,左上3の根面板を除去し,出来る限り歯肉縁上歯質を削去し,義歯床レジンの厚みを確保した.11年10月,この状態で小康が得られた.
2017年6月,右下3が保存不可能となり抜歯することになった.ここで,この時を待っていた残根状の左上3を右下3部に移植することにした.(17年7月)なお左上5は,歯周ポケットが深くなったので抜去した.
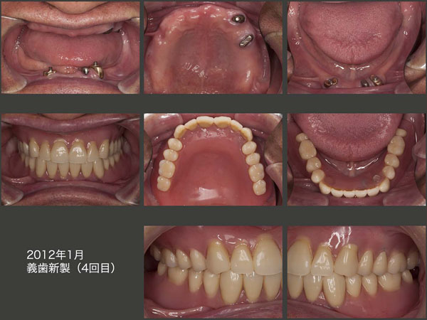
ここで,1983年の第1回から2012年の第4回までの新義歯製作時の正面観を比較してみる.
83年の咬合はどう見ても高いような気がする.91年にかけて,義歯を壊しながら徐々に生体が咬合を低くしているのが見てとれる.咬合が低下することは良くないと信じていたので,92年に咬合を挙上した義歯を新製した.また,01年にかけて徐々に咬合が低くなったが,同様な考えから01年に咬合を挙上した義歯を新製した.そしてまた,11年にかけて右上4,5の歯を失いながら咬合は低くなっていった.さすがに,12年の時は,咬合を挙上するのは危険であるという認識があったので,咬合高径を上げることはなかった.
一般的に咬合を挙上すると咬合力が発揮しやすくなるので咬みやすくなる.また,微笑んだとき上唇から上顎中切歯が少し露見する,赤唇の厚みが増す,および顔の皺が目立たなくなるなど審美性が改善するという利点もある.しかし,安易に咬合高径を上げる(若い頃の咬合高径に戻す)ことはお勧めできない.これは,咬合を挙上すると残存歯,顎堤あるいは義歯を壊しながら,咬合力に釣り合う高さに戻ろうとする性質をもっているからである.元々咬合力の弱い人では,こういった問題は生じないと思うが,咬合力の強い人の咬合を挙上すると,あとで色々トラブルが生じてくる.
この症例では,義歯の破損が度々生じたが,その原因はただ患者さんの咬合力が強いからだと思い込んでいた.患者さんは酒屋を経営しており,配達等で常に重い物を持ち運んでいた.この時,歯を食いしばっていたのではないか?というイメージがあった.しかし本当の原因は咬合高径を上げたことではないかと今は思っている.もっと早くに気が付けば,何回も無駄な義歯を製作しないで済んだと大いに反省している.私にとって大変勉強になった症例であり,患者さんに本当に申し訳なく思うと同時に,心から感謝申し上げる次第である.
2020年5月,移植した右下3および歯根破折が生じた左下3を抜去し,総義歯に移行した.移植した右下3に動揺があり,その結果左下3が歯根破折したのか,あるいは左下3が先に歯根破折し,その結果右下3が引きずられたのか明確ではないが,私は後者のほうであると思っている.
21年1月現在,発音時に下顎の義歯が少し動くのが気になるが,食事は問題なくとれるとのこと.下顎総義歯は,レトロモラーパッドを覆ってないが,十分安定しているので,このまま経過をみることにした.
最後は総義歯という結果になってしまったが,初診から40年という長い間,通院して頂き感謝の念に堪えない.


